Sie befinden sich hier
Inhalt
Tiefe Hirnstimulation
Bei bestimmten Bewegungsstörungen, die nicht oder nicht mehr ausreichend auf eine medikamentöse Therapie ansprechen, ist es möglich, die hierfür verantwortlichen Hirnareale durch die sog. Tiefe Hirnstimulation zu beeinflussen. Hierbei werden feine Elektroden in das Gehirn eingesetzt, um fehlerhafte Nervenstrukturen mit elektrischen Impulsen zu aktivieren oder zu hemmen. Beim Morbus Parkinson, dem essentiellen Tremor oder der Dystonie sind beispielsweise spezifische Hirnareale überaktiv, die dann gezielt durch die Tiefe Hirnstimulation gehemmt und die Symptome wie Zittern oder Muskelsteifigkeit dadurch unterdrückt werden können. Die Hirnregionen selbst bleiben dabei intakt, sodass die Stimulation jederzeit rückgängig gemacht werden kann. Die elektrische Stimulation wird durch einen Impulsgeber gesteuert, der ähnlich wie ein Herzschrittmacher unter die Haut an der Brust der Patient:innen implantiert wird. Die Einstellungen des Impulsgebers lassen sich von außen jederzeit verstellen, sodass die Stimulation an veränderte Bedürfnisse der Patient:innen stets angepasst werden kann.
Neben den Bewegungsstörungen sind mittlerweile auch einige neuropsychiatrische Erkrankungen, wie die Depression oder Zwangsstörungen bekannt, bei denen fehlerhafte Hirnareale durch die Tiefe Hirnstimulation verändert (=moduliert) werden können. Bei schweren therapieresistenten Verläufen kann auch hier dieses Verfahren angeboten werden.
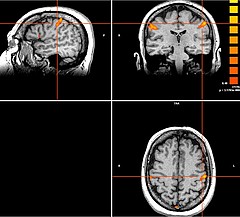
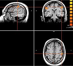
Tiefe Hirnstimulation bei psychiatrischen Erkrankungen
Neben den Bewegungsstörungen sind mittlerweile auch einige neuropsychiatrische Erkrankungen, wie die Depression oder Zwangsstörungen bekannt, bei denen fehlerhafte Hirnareale durch die Tiefe Hirnstimulation verändert (=moduliert) werden können. Gemeinsam mit dem ZI Mannheim erforschen wir neue Zielstrukturen und Indikationen.
Motorkortexstimulation
Bei bestimmten Gesichtsschmerzen und Schmerzen nach Schlaganfällen kann durch das Einbringen von einer oder mehrerer Elektroden oberhalb der Gehirnoberfläche, die für die Bewegung des Körpers verantwortlich ist, eine Schmerzlinderung erreicht werden. Die Elektoden werden entweder auf oder unter die Nervenhaut gelegt. Das Gehirn selbst bleibt intakt, sodass die Stimulation auch wieder rückgängig gemacht werden kann.
Auch bei diesem Verfahren werden die Elektroden durch einen Impulsgeber angesteuert, der unter die Haut implantiert wird. Die abgegebenen elektrischen Impulse verändern die Schmerzwahrnehmung so, dass die Schmerzen weniger stark wahrgenommen werden. Die Einstellungen des Impulsgebers lassen sich von außen jederzeit verstellen, sodass die Stimulation an veränderte Bedürfnisse der Patient:innen stets angepasst werden kann.
Rückenmarksstimulation
Vor allem bei bestimmten Schmerzsyndromen, die nicht oder nicht mehr ausreichend auf eine medikamentöse Therapie ansprechen, ist es möglich, durch die Rückenmarksstimulation eine Schmerzlinderung zu erzielen. Hierbei werden feine Elektroden in den Rückenmarkskanal eingesetzt, die elektrische Impulse abgeben. Das Einbringen der Elektroden kann in örtlicher Betäubung erfolgen. Die Elektroden werden durch einen Impulsgeber angesteuert, der unter die Haut am Gesäß oder an der Bauchwand der Patient:innen implantiert wird. Die abgegebenen elektrischen Impulse hemmen die Schmerzweiterleitung. Die Schmerztherapie durch Rückenmarksstimulation findet Anwendung nach Verletzung von Nerven oder des Rückenmarkes, aber auch bei Phantomschmerzen und bei behandlungsresistenten Schmerzen durch Durchblutungsstörungen bei Herzkrankheit (Angina Pectoris) und Gefäßkrankheit der Beine (pAVK). Bei der Gefäßkrankheit der Beine (pAVK) kann die Stimulation zudem dazu beitragen, die Durchblutung wieder zu verbessern und die Gliedmaßen zu erhalten. Die Nervenstrukturen bleiben bei der Rückenmarksstimulation erhalten, sodass die Stimulation jederzeit rückgängig gemacht werden kann. Die Einstellungen des Impulsgebers lassen sich von außen – auch durch die Patient:innen – verändern, sodass die Stimulation jederzeit an die Bedürfnisse der Patient:innen angepasst werden kann.
Spinalganglienstimulation („dorsal root ganglion“-Stimulation)
Neben der Rückenmarksstimulation ist es bei bestimmten chronischen Schmerzen möglich, ganz gezielt bestimmte Spinalganglien zu stimulieren. Das Spinalganglion ist ein Bündel aus Nervenkernen und Nervenfasern, das alle sensorischen und schmerzhaften Reize einer Nervenwurzel verarbeitet. Bei diesem Verfahren werden feine Elektroden direkt an das Spinalganglion eingesetzt. Wie bei der Rückenmarksstimulation werden die Elektroden durch einen Impulsgeber angesteuert, der unter die Haut implantiert wird. Die abgegebenen elektrischen Impulse hemmen die Schmerzweiterleitung. Diese Therapie findet Anwendung bei thorakalen Neuropathien (z.B. nach Mastektomie, Thorakotomie oder Herpes Zoster), bei Leistenschmerzen nach Leistenhernienoperationen, bei Schmerzen nach Operationen am Knie, Fuß, Hüft Hand oder Schulter sowie beim komplexen regionalen Schmerzsyndrom oder Phantom- und Stumpfschmerzen nach Amputationen. Auch bei der Spinalganglienstimulation bleiben die Nervenstrukturen erhalten, sodass die Stimulation jederzeit rückgängig gemacht werden kann. Die Einstellungen des Impulsgebers lassen sich von außen – auch durch die Patient:innen – verändern, sodass die Stimulation jederzeit an die Bedürfnisse der Patient:innen angepasst werden kann.
Thermische Verödung bei Trigeminusneuralgie
Bei einschießenden Gesichtsschmerzen (Trigeminusneuralgie), die nicht oder nicht mehr ausreichend auf eine medikamentöse Therapie ansprechen und für die kein anderes operatives Verfahren infrage kommt, ist es möglich, durch Hitzebehandlung des Nervenknotens des Gesichtsnervs die Schmerzweiterleitung zu hemmen. Diese Behandlung kann durchgeführt werden, da die schmerzleitenden Fasern des Nervs gegenüber Hitze empfindlicher sind als andere Fasern. Der Vorteil dieses Verfahrens liegt darin, dass es in örtlicher Betäubung durchgeführt werden kann und somit auch für Patient:innen infrage kommt, für die keine längere Operation in Vollnarkose nicht möglich ist. Meistens können die Patient:innen am Tag nach der Behandlung wieder nach Hause entlassen werden.
Vagusnervstimulation/Transkranielle fokale Kortexstimulation (EASEE®-System)
Bei Krampfleiden (Epilepsie), die nicht oder nicht mehr ausreichend auf eine medikamentöse Therapie ansprechen und für die ein epilepsiechirurgischer Eingriff am Gehirn nicht infrage kommt, ist es möglich, die Anfallshäufigkeit durch Stimulation des Vagusnervs (zehnter Hirnnerv) oder durch eine transkranielle fokale Kortexstimulation zu reduzieren.
Bei der Vagusnervstimulation wird eine feine Elektrode um den linken Vagusnerv gelegt, über die Nervenstrukturen mit elektrischen Impulsen stimuliert werden. Der Vagusnerv selbst bleibt dabei intakt, sodass die Stimulation jederzeit rückgängig gemacht werden kann.
Bei der transkraniellen fokalen Kortexstimuation wird eine dünne Elektrode unter die Haut auf den Schädelknochen gelegt.
Bei beiden Verfahren wird die elektrische Stimulation durch einen Impulsgeber gesteuert, der ähnlich wie ein Herzschrittmacher unter die Haut an der Brust der Patient:innen implantiert wird. Die Einstellungen des Impulsgebers lassen sich von außen jederzeit verstellen, sodass die Stimulation an veränderte Bedürfnisse der Patient:innen stets angepasst werden kann.
Neben den Krampfleiden ist mittlerweile auch bekannt, dass therapieresistente Depressionen durch diese Verfahren behandelt werden können.
Bei generalisierten Epilepsien ist es zudem möglich, eine Tiefe Hirnstimulation durchzuführen (s. dort)
Intrathekale Baclofenpumpen
Bei schwerer Spastik (Muskeltonussteigerung), die nicht oder nicht mehr ausreichend auf eine medikamentöse Therapie anspricht, ist es möglich, eine Medikamentenpumpe zu implantieren, die den Wirkstoff Baclofen direkt um das Rückenmark abgibt. Da durch die Pumpe der Wirkstoff in einer deutlich hören Konzentration am Zielorgan ankommt, kann die Steifigkeit gut reduziert und gleichzeitig Nebenwirkungen verhindert werden. Das Verfahren kommt z.B. bei frühkindlicher Hirnschädigung, nach einem Schlaganfall oder bei der Multiplen Sklerose zum Einsatz. Bei Kindern mit frühkindlicher Hirnschädigung (infantiler Zerebralparese) kann das Verfahren bereits vor dem 2. Geburtstag angewendet werden (in Zusammenarbeit mit der Sektion Pädiatrische Neurochirurgie).

Kontextspalte

Terminanfragen und Sprechstunden
Telefon 0621/383-2750
Telefax 0621/383-2014
termin-nch@ umm.de
Stationäre Aufnahme
Telefon 0621/383-5967
Telefax 0621/383-2004
Sprechstunde Neuromodulation
Freitags 09:00 Uhr bis 15:00 Uhr
termin-nch@ umm.de
Ambulanzraum: Haus 43 (Patientenhaus), 3. OG
Anmeldung: Haus 43 (Patientenhaus), EG, Rezeption